
Chupeta
O uso da Chupeta é um dos assuntos mais controversos
entre os parentes e profissionais, como pediatras, dentistas e fonoaudiólogos. Existem argumentos prós e contras, sendo que o Bom Senso deveria definir se o bebê precisa de chupeta ou não.
Infelizmente não é o que ocorre com a chupeta em especial, ou outros assuntos, como: até quando insistir na amamentação no seio, uso de medicação para dor durante o nascimento dos dentes, tratamento para birra, entre outros. As pessoas ficam com uma ideia tão enraizada que não conseguem ouvir diferentes convicções da sua.
Provavelmente, o uso da chupeta começou devido a necessidade de acalmar um bebê em um orfanato – fato extremamente comum na Idade Média, pois os primeiros relatos do uso são anteriores ao Descobrimento do Brasil. Desde o início foram utilizados como uma substituição ao Seio Materno nas crianças com grande necessidade de sucção, evitando assim que a criança chupasse o dedo ou qualquer outro objeto.
Existem diversos motivos existentes para usar ou não a chupeta, e as pessoas usam as informações de maneira distorcidas para justificar a sua opinião pessoal! Vou utilizar o que temos de comprovação científica contra ou a favor da chupeta.
>Tipos de Chupetas

Os tipos básicos são dois: Ortodônticas e as Normais, em variados tamanhos para se adequarem ao bebê. As chupetas mais indicadas – caso necessária – são as ortodônticas, pois tem uma tendência menor de alterar as estruturas bucais. As normais tem formato
mais parecido com o dedo, grossas e redondas.
Inúmeras marcas famosas de produtos para bebês tem seu modelo de chupeta, alegando que ela faz isso pois evita que qualquer outro beneficio adicional às chupetas Ortodônticas compradas em Supermercados ou Farmácias. Esse benefício pode até existir,mas o uso incorreto da chupeta vai gerar repercussões ruins à criança.
>Por que dar chupeta?
O único motivo universalmente aceito para a introdução da Chupeta é quando a criança inicia a sucção digital, ou seja, quando chupa o dedo, por todos os males gerados por esse comportamento. Essa criança que depois de mamar ainda permanece com o bico na boca sugando como se fosse uma chupeta, gerando uma grande confusão nos pais sobre sua saciedade (se ainda permanece com fome) além de chorar sempre que fica tais saciamentos na boca, mesmo quando já está até vomitando de tanto mamar.
>Quando dar ?
Quando a criança usa o seio/mamadeira como chupeta, a paciência dos pais é o melhor parâmetro, desde os 15 dias de vida. Muitas crianças nos primeiros meses, principalmente, na Cólica do Lactente ou no Refluxo Gastroesofágico, apresentam uma necessidade grande de sugar durante o momento de dor, sendo comum a introdução da chupeta, para evitar que a criança mame ou chore demais.
Nas primeiras duas semanas de vida, o choro excessivo é sempre devido a fome. Exceto se comprovado que o bebê ganha muito mais de 25 gramas por dia, quantidade mínima normal; lembrando que existem crianças que são mais famintas e necessitam mamar acima da média, e podem chorar mesmo ganhando mais de 30-40 gramas por dia.
Chupar dedo
A criança que chupa o dedo, no geral, é melhor aceita pelas pessoas. Há pessoas que estimularam seus filhos/netos a chupar o dedo, porque acham “bonitinho” aquela carinha de criança chupando o dedo. Diferente da chupeta que a maioria das crianças solta ou perde com facilidade, gerando choros e resmungos, ela aprende rapidamente a colocar o dedo na boca sozinha, em qualquer hora do dia e da noite.
Eu como pediatra, não gosto que as crianças chupem o dedo, porque além dos malefícios serem mais graves e precoces, ainda existe a tendência do “chupar dedo” durar por mais tempo, inclusive durante a vida adulta.
Chupar o dedo deve existir desde o início dos tempos, pois antes da existência da chupeta as opções eram extremamente reduzidas se uma criança apresentava maior necessidade de sugar, e não tinha o seio materno disponível para satisfazer essa necessidade. Apesar de culturalmente se aceito, não existe nenhum motivo ou benefício em induzirmos algum bebê a chupar o dedo.
Normalmente, a criança que chupa o dedo tende a dormir a noite toda mais rapidamente pois se sentir necessidade de sugar algo, o dedo está disponível facilmente.
>Tipos de Dedos
Achou o título esquisito? Bem, a criança pode escolher qualquer
um dos 20 dedos para chupar, mas os escolhidos são os dedos da mãos: polegares, indicadores e os médios ou “pai de todos”; não por serem mais acessíveis, mas porque a descoberta da mão ocorre primeiro, aproximadamente 1 a 2 meses antes da descoberta do pé e seus dedinhos.
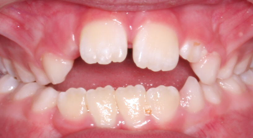
Existem diferenças entre chupar o polegar e os os outros dedos, seja isoladamente ou em associação. O polegar apresenta uma curvatura que facilita o contato da região digital com o palato, o contato da articulação interfalangiana com os dentes incisivos superiores, e da falange média com os dentes incisivos inferiores, gerando as alterações da figura ao lado.
A criança que chupa outros dedos, não sendo o polegar, apresenta as mesmas alterações daquela que chupa o polegar, exceto a elevação do palato e dependendo do número de dedos que ele chupar ao mesmo tempo, a alteração na oclusão dentária pode ser mais extensa, afetando um número maior de dentes.
Não existe indicação para a criança chupar o dedo. Dos males, a chupeta acaba sendo o menor.

Chupeta e chupar dedo
>Quando dar
No caso da criança estar chupando o dedo, e após mais de 15-30 dias de insistente tentativa de retirar o dedo da boca, a criança continua sugando o dedo. É indicado por especialistas que introduza a chupeta.
>Por que a criança precisa chupar o dedo ou a chupeta?
Nos meses iniciais de vida, a região oral da criança é o centro de sua vida, sendo a região com melhor inervação (justamente para facilitar a mamada) e sensibilidade tátil.
Nos primeiros dias de vida, o principal fator de estresse ou desconforto da criança é a fome, pois não a sentiu na barriga da mãe, já que não comia, pois recebia todos os nutrientes diretamente do sangue da mãe através do cordão umbilical. Rapidamente a criança relaciona a melhora do seu desconforto com a colocação do seio ou mamadeira em sua boca, gerando uma sensação de alívio e prazer.
Quando o bebê cresce um pouco mais e começa a sentir incômodos, pelas mais variadas causas, como cólicas do lactente, refluxo gastroesofágico, brigar com o sono, carência ou tédio, ele pode tentar buscar alguma satisfação na oralidade, sendo assim, busca satisfazer a sua necessidade ou afastar o incômodo sugando algo que pode ser o seio materno ou a mamadeira (mesmo sem fome), ou o dedo e a chupeta. Os pais devem decidir como preferem que a criança se acalme.
>Uso Correto da Chupeta ou do Dedo
O uso correto da chupeta e do dedo evita as alterações de longo prazo, principalmente as dentárias na criança. Lembrando que, essas alterações são relacionadas ao tempo de uso, números de horas por dia x números de dias/anos de uso. Quanto mais intenso o uso diário ou mais prolongado o uso, maior serão as sequelas.
A chupeta deve ser usada apenas quando a criança apresenta necessidade de sugar, e não como um calmante (para não falar um “cala a boca”) para a criança.
Deve ocorrer em situações predeterminadas pelos pais, por tempo curto (não deixar a chupeta com a criança), preferencialmente apenas para dormir, e sempre tentar utilizar outros métodos que possam ajudar na necessidade da chupeta, como: música, canto e carinhos.
Evitar o uso de chupeta para acalmar crises de birra. Se utilizada nesses casos, deve-se tentar reduzir o tempo de utilização no máximo possível, e principalmente, reduzir a exposição ou disponibilidade da chupeta. Deixe-a em algum lugar não visível pela criança, pois se estiver acessível, ela nunca vai tirar a chupeta da boca.
>E se meu bebê não aceitar?
São poucos os bebês que nascem com a capacidade de segurar uma chupeta o tempo todo, sendo que a maior parte deles podem ter náuseas, ou outras sensações ruins nas primeiras utilizações da chupeta.
Basicamente nos primeiros 4 ou 5 meses de vida, a maioria das crianças necessita que um adulto mantenha a chupeta na boca dela, ou pelo menos, ajude em alguns momentos.
>Quando retirar?
Se utilizada corretamente, a chupeta não gera nenhum mal
até aproximadamente dois anos de idade, portanto, seu uso deve ser descontinuado entre os dois e três anos de idade, ou assim que alguma alteração dentária for detectada por seu pediatra ou dentista. O uso diurno (mais maléfico) deve ser retirado primeiro, preferencialmente antes dos 2 anos de idade.
O uso noturno pode ser postergado até aproximadamente os 3 anos de idade, somente para dormir, pois a criança sempre solta a chupeta por um período longo da noite, sendo por isso, menos deletério. Caso elas não soltarem sozinha, os pais podem ajudar, retirando a chupeta da boca repetidas vezes durante a noite até que a criança se acostume.
A retirada da chupeta é muito mais fácil do que o dedo, porque a chupeta podemos jogar fora e nunca mais comprar.
Verdades e Mentiras sobre Chupetas e Dedos
Segue abaixo, uma breve explicação sobre cada um dos motivos utilizados contra e a favor do uso da chupeta e dos reais malefícios do ato de chupar o dedo, pois ela deve apenas ser bem indicada.
- Amamentação: hoje em dia sabe-se que, a chupeta introduzida após os primeiros quinze dias de vida, não gera nenhuma diferença no amamentamento materno à longo prazo. O fator de chupar o dedo também não interfere com a amamentação.
- Emagrece a criança: uma gigantesca invenção dos “odiadores de chupetas”. Crianças que usam chupetas ou chupam o dedo, pois engordam tanto quanto as crianças que não as utilizam.
- Nenhuma criança precisa de chupeta ou dedo: se isso fosse verdade, nenhuma criança – independente de mamar ao seio ou mamadeira – chuparia o dedo. Aliás, quase 15-20% das crianças irão chupar no 1º ano, ou outros objetos como brinquedos, travesseiros ou paninhos.
- Síndrome da Morte Súbita do Lactente: a chupeta é um fator protetor para essa doença que, tão tragicamente, afeta algumas famílias.
- Otite Média Aguda ou infecção do ouvido: ocorre com maior frequência nas crianças que chupam dedo ou chupeta após os seis meses de idade.
- Atraso na fala: crianças que fazem o uso contínuo da chupeta ou chupam o dedo, podem apresentar alterações importantes na fala como: atraso na aquisição de novos sons, trocas de letras, sons incompreensíveis. À longo prazo com as alterações no formato da boca e dentes, pode ocorrer a voz anasalada ou fanha.
- Sono: muitos bebês tem necessidade de sugar enquanto dormem, e por isso, o uso de chupeta é aconselhado, pois a amamentação de madrugada após os seis meses de vida não é adequada (risco de infecções de ouvido, cáries ou quedas da cama dos pais). Dica de sono: deixar muitas 3-4 chupetas dentro do berço, assim se ele perder a chupeta e acordar, rapidamente seu bebê aprende a achar outra e voltar a dormir sem sua intervenção. No caso da criança chupar dedo, rapidamente a criança criará o hábito de colocar o dedo na boca sempre que quiser dormir.
- Infecções na criança: todas as crianças que chupam dedo ou chupeta tem um número maior de doenças infecciosas e de vermes, se comparado às crianças que não chupam nem dedo ou chupeta. Isso ocorre quando a criança não lava a mão ou a chupeta todas as vezes em que vai utiliza-lás, levando um número maior de germes a entrar em contato com a boca, principalmente após a criança começar a andar.
- Alergias: a criança que entra em contato mais frequente com germes ou parasitas na primeira infância, apresenta índices significativamente menores de alergia (rinite, dermatite, asma ou alergia alimentar) do que as crianças que viveram em ambientes excessivamente limpos e assépticos. Esse fato é conhecido como a Teoria da Limpeza.
Com essas informações cada um faz a sua escolha!
Espero ter ajudado e deixem seus comentários com dúvidas ou sugestões. Respondo assim que puder!
Dr. Christian Helfstein
Médico Pediatra – CRM/SP 119.947
Limeira – São Paulo












Oi Doutor apresentou dificuldade prá dormir sem chupeta o que eu faço tenho 21 anos???
CurtirCurtir
Gostaria dos estudos que comprovam que a chupeta (se introduzida após os 15 dias de vida) não prejudica a amamentacao e não causa confusão de bicos.
Gostaria Tb dos estudos que comprovam que o leite materno causa cárie, pois os odonpediatras dizem justamente o contrário.
CurtirCurtir
Com estas informações cada um faz sua escolha?
Pelo amor de Deus, poucas vezes vi informações tão ruins, deturpadas, falsas e sem apoio nenhum na ciência.
Desculpe, esta fazendo um desserviço.
Acho que deveria rever seus conceitos
CurtirCurtir
Oi Doutor eu geralmente chupo chupeta a noite só a noite como faço para controlar o uso da chupeta a noite??
CurtirCurtir
Boa Noite “usodemais”
Você precisa de mais ajuda do que eu posso oferecer.
Você se diz menor de idade e precisa de ajuda de sua família e um profissional como psicólogo ou psiquiatra.
Menores de idade não devem se expor na internet, aprenda isso o quanto antes.
Abraços
CurtirCurtir
Eu apresento algumas reações se penso na chupeta ou mamadeira. O que isso significa?
CurtirCurtir
Boa dia
Eu não diria que é um preconceito, mas algumas coisas são socialmente aceitáveis apenas em determinadas idades.
O uso da chupeta e da mamadeira demonstram que você ficou presa em uma fase anterior de desenvolvimento. Agora na adolescência e em breve na vida adulta essa imaturidade e dependência podem atrapalhar muito.
Temos dois tipos de soluções para dependência: retirada rápida com supressão total do estímulo e resolução mais rápida e com maior eficácia, e retirada lenta que é a retirada parcial e lenta, normalmente menos eficaz e com mais recaídas.
Tente com afinco melhorar, o primeiro passo você já está dando, agora precisa por em prática antes de sofrer por antecipação.
Abraços
CurtirCurtir
Tem dias que eu não uso chupeta e nem mamadeira para dormir mais ninguém sabe que eu uso chupeta e mamadeira porque eu sei que algumas pessoas tem preconceitos eu só conto pra quem eu confio como você que me entende e me ajuda bastante
CurtirCurtir
Mais dá para mamar antes de dormir?
Eu pretendo mamar antes e depois escovar os dentes e por último ir para cama dormir abraçando a mamadeira isso dá para funcionar?
CurtirCurtir
Boa noite!
O maior problema da mamadeira é a grande ocorrência de cáries dentárias.
A mamadeira é geralmente utilizada na cama e a higiene oral nunca ocorre. Qualquer líquido, exceto a água, aumenta muito o risco de cárie.
Desculpe, mas não tem solução fácil para seu problema.
Abraços
CurtirCurtir
Eu uso a mamadeira só a noite para mamar coloco se for café,leite,suco ou nescau depois que eu termino coloco a mamadeira do meu lado abraçando e uso mais o bico de látex
CurtirCurtir
Bom dia
As possíveis alterações são deformidades na dentição, elevação do céu da boca, obstrução nasal, deformidades na mandíbula e maxila e alterações na fala.
Abraços
CurtirCurtir
Bom dia
As alterações são aquelas descritas na página como dentes para frente, elevação do céu da boca, possível obstrução nasal, deslocamento ósseo da mandíbula e maxila gerando alteração da face e alterações na fala com erros de posicionamento da língua.
Abraços
CurtirCurtir
O que acontece se ficar com a chupeta na boca dormindo uma noite toda?
CurtirCurtir
Calma , Calma.
Você precisa controlar essa ansiedade antes de tentar qualquer coisa.
A mamadeira pode usada como um urso de pelúcia, mas não como uma chupeta.
Não entendi muito bem a sua colocação “dormir de um lado segurando”.
O principal é ficar calma e pensar em um dia de cada vez. Primeiro devemos aprender a sentar, para depois engatinhar, então andar e finalmente correr.
Tenha paciência e vá se desapegando do passado.
Abraços
CurtirCurtir
E com a mamadeira tem como dormir deitado de um lado segurando?
CurtirCurtir
E com a mamadeira tem como dormir
CurtirCurtir
Você terá que fazer associações positivas como técnicas de relaxamento focadas na respiração, você acha na internet, leitura, exercícios físicos, meditação, ver um pouco de TV (programa leve e sem muita ação) e muita, mas muita força de vontade.
Se você dormir a noite toda com a chupeta, peça para alguém retirar ela de sua boca ao aprofundar o sono ou você amarra um cordão bem curto (sem risco de sufocamento) para que ela saia da sua boca ao se mexer.
Pense em algo que te relaxe para colocar no lugar da chupeta.
Não devemos pautar nossa vida pela imagem, mas vários estudos indicam que decidimos se gostamos ou não de alguém em menos de 10 segundos e a imagem é importante nesse aspecto. Lembre que os dentes e o céu da boca podem ser corrigidos, mas não é uma tarefa fácil e demora bastante.
Abraços
CurtirCurtir
No lugar da chupeta dá prá substituir o que?
CurtirCurtir
Como disse, com o passar do tempo criamos associações entre a chupeta e diferentes situações como estresse, sono, angústia, ansiedade e etc.
A única maneira de você superar isso é criar uma nova associação para substituir esse hábito.
Se você usar de vez em quando, sempre estará reforçando essa dependência.
É claro que você pode aprender a se controlar e usar a chupeta com moderação, mas não será fácil. Seria muito mais tranquilo a retirada completa.
Vi que você está começando um blog sobre o assunto e achei uma ótima idéia. Escrever sobre o que sentimos é extremamente positivo.
Continue me contando a sua empreitada e peça ajuda se precisar, estou a disposição.
Abraços e boa sorte
CurtirCurtir
Mais tem como usar em em vez em quando a chupeta?Porque da muita vontade de dormir
CurtirCurtir
Bom dia “Uso demais”
Adorei o Nick!
Bem, normalmente as crianças que ficam muito arraigadas a fase oral, ou seja, apresentam uma grande necessidade de sugar ou manipular a boca.
Você só poderá melhorar se perceber essa sua dependência, acho que já está comendo a acontecer, procurar ajuda para intervir de maneira correta e coragem de enfrentar a grande dificuldade que é mudar seus hábitos.
Primeiramente, você deve saber que a chupeta ou mamadeira são utilizadas para acalmar, a manipulação da boca tem um efeito calmante, observe que os adultos fumam, comem, bebem, roem unha nessas situações também.
Entendendo o desencadeante, ou seja, estresse, ansiedade, nervosismo é outros sentimentos negativos, você consegue mudar a maneira como reage as coisas.
Tente inicialmente modificar a sua resposta a esses estímulos. Você terá vontade de mamar ou chupetar, mas tente se controlar por uns 5 minutos que a fissura vai passar e você vai se sentir mais forte.
Evite o contato fácil com a mamadeira e a chupeta, preferencialmente, você deveria jogar todas no lixo, meio ritualística mente, como o fim de uma fase de sua vida.
A maioria das pessoas supera essa necessidade na adolescência, tanto por vergonha quanto por desenvolver outros mecanismos de alívio do estresse.
Eu aconselho a retirada completa e não parcial como está pensando pois é mais fácil e melhora muito a sua auto estima, que não é o ponto forte dá maioria dos adolescentes.
A retirada completa é mais fácil e a sensação ruim associada é mais rapidamente dissipada que na retirada parcial, onde a sensação de frustração a cada recaída é maior.
Na maioria das vezes não controlamos as situações a que somos submetidos, mas podemos controlar como reagimos e escolher a melhor solução para nós.
Lembre sempre de se questionar se as suas ideias não estão erradas antes de brigar por elas, sempre se questione, assim sempre vai conseguir comtrolar o estresse e não vai trocar seis por meia dúzia.
Tirar a mamadeira ou chupeta e começar a comer ou roer unha para se acalmar, por exemplo.
Parabéns pela atitude, você deu um grande passo em direção à maturidade.
Me conte, se lembrar, como você ficou.
Abraços
CurtirCurtir
Oi eu chupo chupeta e tenho 13 anos e também gosto muito de mamar na mamadeira fui acostumado desde a minha infância como faço para parar um pouco? porque só em vez em quando que eu uso.Mais eu pretendo usar só a noite a chupeta e mamadeira em vez em quando
CurtirCurtir
Bom dia Andreza
Infelizmente, o hábito de chupar o dedo é muito difícil de se retirado. A manipulação da boca traz conforto e acalma o ser humano (por isso, adultos roem unha, bebem, fumam e etc).
No geral precisamos de muito força de vontade para parar esses atos e isso demanda maturidade. A resolução espontânea ocorre próxima ou durante a adolescência quando chupar dedo se torna muito mas muito vergonhoso para eles.
Nessa fase, tente restringir os mim em que ele pode chupar o dedo, reduzindo o ato reflexo e diminuindo as chances desse ato se prolongar.
O uso de substâncias com gosto ruim tem baixa eficiência e muitas vezes oras riscos de intoxicação as crianças.
Abraços
CurtirCurtir
Olá meu filho tem 7anos e chupa dedo indicador desde quando nasceu. Como faço pra tirar isso dele?
CurtirCurtir
Bom dia
As crianças simplificam a sua vida, basicamente por não entender tudo que as cerca, criando associações diretas, como sua neta fez com o dormir e usar chupeta. Isso é normal e toda criança faz isso.
O ato de manipulação da boca é um dos maiores calmantes do ser humano, seja mamando, chupando dedo ou chupeta, comendo, roendo unha, fumando ou bebendo.
Agora se imagine no lugar de sua neta após a retirada da chupeta. Foi desfeita a associação que a acalmava durante o sono.
A idade dela é caracterizada pela percepção da criança como um ser separado dos pais com todos os benefícios e medos associados, sendo o maior de todos, o medo da separação ou abandono e isso se repete todas as noites quando as crianças fecham os olhos e se perguntam: “Será que papai e mamãe ainda estarão comigo se eu fechar os olhos”.
Associado a isso, sua neta está na idade das parassonias que são distúrbios do sono como pernas inquietas, balançar de cabeça, pesadelos, sonambulismo, falar dormindo e etc. Esses atos são desencadeados principalmente por cansaço.
Resumindo e respondendo sua pergunta: sua neta terá que buscar uma nova maneira de se acalmar durante a noite e enquanto isso não ocorrer seu sono será menos repousante levando ao aumento dos movimentos durante o sono.
Vocês podem criar uma nova associação ou um amigo do sono, como um NOVO bicho de pelúcia ou boneca para dormir com ela. Com meu filho, ele escolheu um boneco do Saci como seu companheiro de sono e deu super certo.
Fica tranquila que já tinha passado da hora de tirar a chupeta dela. Vocês fizeram a escolha certa.
Tudo se resolve em algumas semanas.
Abraços e obrigado por participar do Pediatriavirtual.com.
CurtirCurtir
A criança fica com o sono prejudicado e acorda chorando a noite nas primeiros dias sem a chupeta . É normal? Tem alguma coisa a ver com verminoses essa vontade de voltar a chapar a chupeta ? Minha neta tem três anos e três meses. E a uma semana tiramos a sua chupeta. Ela concordou mas está acordando a noite chorando e se debatendo. Obrigada!
CurtirCurtir
Bom dia Thaís
Os bebês que mamam livremente ao seio conseguem satisfazer a necessidade de sugar plenamente e por isso, raramente aceitam a chupeta.
Algumas mães não conseguem amamentar em intervalos curtos, seja por dor, incômodo, sono ou comodidade e eu acho que elas tem o direito de optar pelo que julgam melhor desde que não prejudique o bebê.
O problema da chupeta, como tudo na vida, é como e por quanto tempo a utilizamos.
Abraços e obrigado pela participação
CurtirCurtir
Oi Dr tudo bem?
Minha filha nunca aceitou bem a chupeta,só queria o peito rsrs
Eu acho que bebê que é amamentado em livre demanda não ‘vicia’ na chupeta.
Parabéns pelo site
CurtirCurtir